Pozdrav poštovanom uredništvu portala HOP!
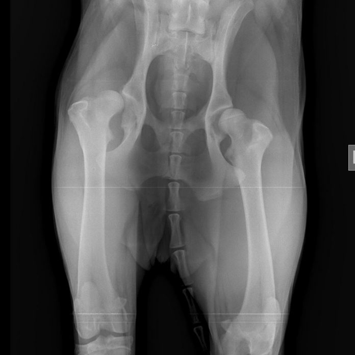
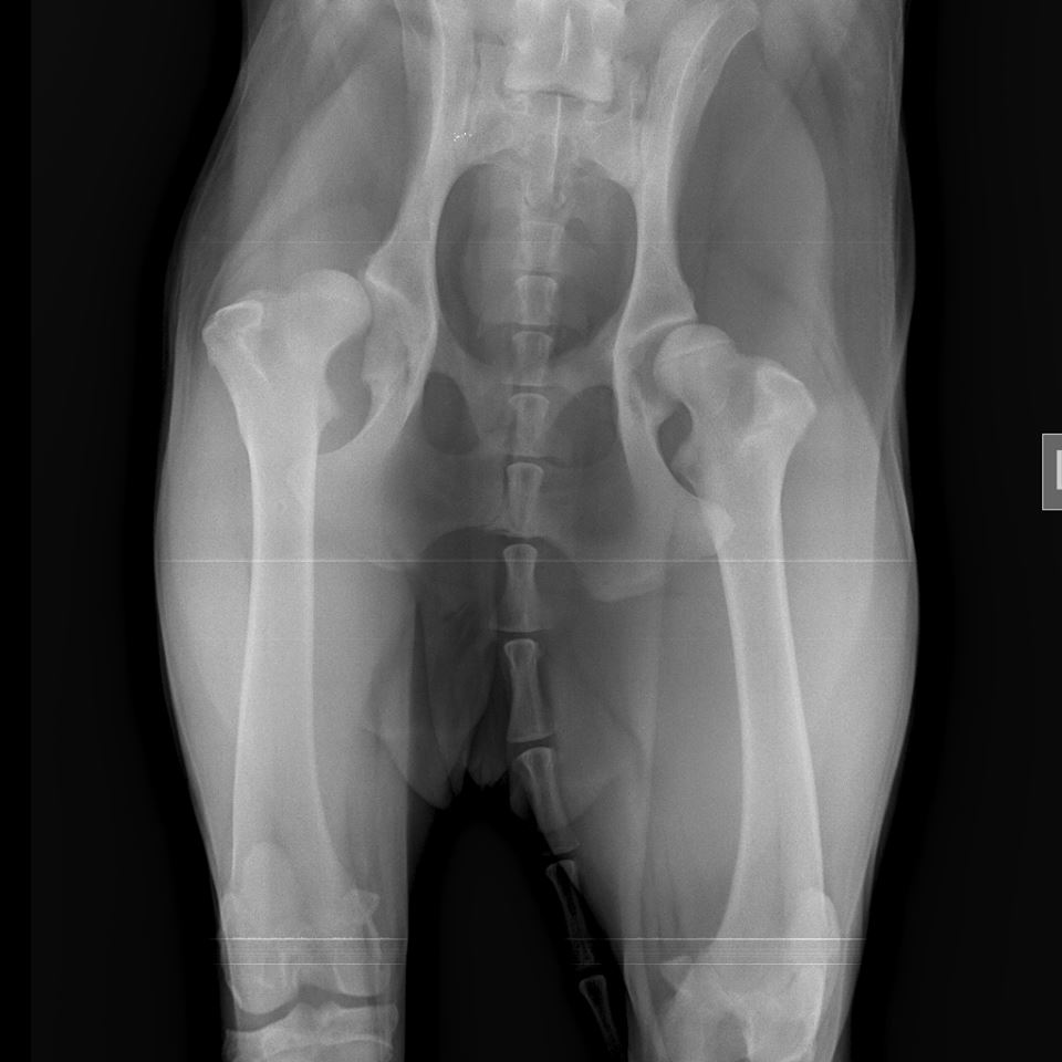
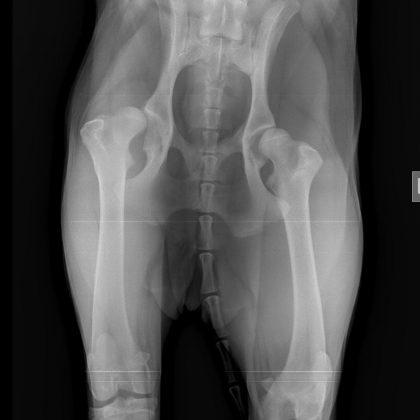
Javljam vam se teška srca s molbom za pomoć. Moja prijateljica Mateja Špoljarić ima pesicu Bessu koja ima 11 mjeseci. Nažalost, dijagnosticiran joj je najteži oblik displazije kuka i jedino rješenje je operacija zamjene kuka koja iznosi 3500 eura a izvodi se najbliže u Sloveniji. Riječ je o ogromnom iznosu, kojeg ne možemo sami sakupiti, stoga smo se aktivirali na razne načine glede prikupljanja tog iznosa. Već smo dio sakupili i potpora jednog jakog medija, poput Vašeg, bi nam jako puno pomogla u dostizanju tog cilja.
Jedino što od Vas tražimo je da na vašem portalu podijelite objavu u kojoj molimo za pomoć, pošto nam je svaka pomoć dobro došla. Ukoliko ste nam voljni pomoći, vrlo rado ćemo vam ustupiti sve potrebne informacije o cijeloj situaciji. Prilažem vam link na Facebook post s osnovnim informacijama o cijeloj priči.
Prilažemo vam fotografije. Na prvoj je mail od veterinara iz Slovenije koji preporuča operaciju, na drugom je račun iz veterinarske ambulante u Zagrebu kada je dijagnosticirana bolest i treći je rengenska snimka problematičnog kuka kujice.












