Kada su postojani, osjećaji usamljenosti uzrokuju promjene u mozgu koje u začaranom krugu mogu spriječiti vašu sposobnost povjerenja i povezivanja s drugima. Međutim, postoje indikacije za moguće učinkovite terapije.
Polarna postaja Neumayer III nalazi se blizu ruba nemilosrdne ledene ploče Ekström na Antarktiku.
Tijekom zime, kada temperature mogu pasti ispod minus 50 stupnjeva Celzijusa, a vjetrovi se penju do 100 kilometara na sat, nikome nije dopušteno ući niti izaći iz postaje. Njezina je izolacija ključna za meteorološke, atmosferske i geofizičke znanstvene eksperimente koje ondje provodi tek šačica znanstvenika koji rade na postaji tijekom zimskih mjeseci i podnose njezinu ledenu samoću.
Ali prije nekoliko godina stanica je također postala mjesto istraživanja o samoći.
Tim znanstvenika iz Njemačke želio je vidjeti oštećuju li društvena izolacija i monotonija okoliša mozgove ljudi koji dugo borave na Antarktici. Osam dispečera koji su radili na postaji Neumayer III 14 mjeseci pristalo je da im se skeniraju mozgovi prije i poslije misije te da im se prati kemija mozga i kognitivni učinak tijekom njihovog boravka. (Deveti član posade također je prisustvovao, ali nije mogao biti skeniran iz medicinskih razloga.)
Kao što su istraživači opisali 2019., u usporedbi s kontrolnom skupinom, društveno izolirani tim izgubio je volumen u prefrontalnom korteksu, regiji u prednjem dijelu mozga, odmah iza čela, koja je prvenstveno odgovorna za donošenje odluka i probleme, rješavanje. Također su imali niže razine neurotrofnog faktora koji potiče iz mozga, proteina koji potiče razvoj i preživljavanje živčanih stanica u mozgu. Smanjenje je trajalo najmanje mjesec i pol nakon povratka tima s Antarktike.
Nejasno je koliko je to isključivo zbog društvene izolacije iskustva. No nalazi su u skladu s dokazima iz novijih studija da kronična usamljenost značajno mijenja mozak na načine koji samo pogoršavaju problem.
Neuroznanost sugerira da usamljenost ne dolazi nužno od nedostatka prilika za upoznavanje drugih ili straha od društvenih interakcija. Umjesto toga, sklopovi u našem mozgu i promjene u našem ponašanju mogu nas uhvatiti u zamku 22. situacije: dok žudimo za vezom s drugima, smatramo ih nepouzdanima, osuđujućima i neprijateljski raspoloženima. Kao rezultat toga, držimo se podalje, svjesno ili nesvjesno odbijajući potencijalne prilike za povezivanje.
Usamljenost može biti teško empirijski proučavati jer je potpuno subjektivna. Društvena izolacija, povezano stanje je drugačija: to je objektivna mjera koliko malo odnosa osoba ima. Iskustvo usamljenosti mora biti samoprijavljeno, iako su istraživači razvili alate kao što je UCLA Ljestvica usamljenosti za pomoć u procjeni dubine osjećaja pojedinca.
Iz takvog rada jasno je da je fizički i psihički danak usamljenosti diljem svijeta dubok. U jednoj anketi 22% Amerikanaca i 23% Britanaca izjavilo je da se stalno ili često osjećaju usamljeno. I to prije pandemije. Od listopada 2020., 36% Amerikanaca prijavilo je “tešku usamljenost”.
Ali usamljenost ne čini samo da se osjećamo loše: ona utječe na naše zdravlje. Može dovesti do visokog krvnog tlaka, moždanog udara i bolesti srca. Također može udvostručiti rizik od dijabetesa tipa 2 i povećati vjerojatnost demencije za 40%. Kao rezultat toga, kronično usamljeni ljudi imaju 83% veći rizik od smrtnosti od onih koji se osjećaju manje izolirano.
Organizacije i vlade često pokušavaju pomoći kod usamljenosti potičući ljude da više izlaze i osnivanjem hobi klubova, društvenih vrtova i obrtničkih grupa. Ipak, kao što neuroznanost pokazuje, riješiti se usamljenosti nije uvijek tako jednostavno.
Sklonost odbijanju
Kad su njemački i izraelski neuroznanstvenici prije nekoliko godina počeli istraživati usamljenost, očekivali su da će otkriti da je njezina neuronska osnova slična onoj socijalne anksioznosti, uključujući amigdalu. Često nazivana centrom straha u mozgu, amigdala ima tendenciju da se aktivira kada se suočimo sa stvarima kojih se bojimo, od zmija do drugih ljudi. “Mislili smo: ‘Socijalna anksioznost povezana je s povećanom aktivnošću amigdale, pa bi se to također trebalo odnositi na usamljene ljude'”, rekla je Jana Lieberz, doktorandica na Sveučilištu u Bonnu u Njemačkoj koja je bila dio istraživačkog tima.
Međutim, studija koju je tim objavio 2022. otkrila je da, iako prijeteće društvene situacije pokreću povećanu aktivnost amigdale kod osoba sa socijalnom anksioznošću, one nemaju takav učinak kod usamljenih ljudi. Slično tome, ljudi sa socijalnom anksioznošću imaju smanjenu aktivnost u dijelovima mozga za nagrađivanje, a čini se da to nije točno za usamljene ljude.
“Osnovne značajke socijalne anksioznosti nisu bile vidljive u usamljenosti”, rekao je Lieberz. Ova otkrića sugeriraju, rekla je, da liječenje usamljenosti jednostavno govoreći usamljenim ljudima da izađu i više se druže (način na koji se može liječiti fobija od zmija izlaganjem) često neće uspjeti jer ne rješava temeljni uzrok usamljenosti. Doista, nedavna meta-analiza potvrdila je da jednostavno omogućavanje usamljenim ljudima lakšeg pristupa potencijalnim prijateljima nema nikakav učinak na subjektivnu usamljenost.
Čini se da je problem s usamljenošću taj što iskrivljuje naše razmišljanje. U studijama ponašanja, usamljeni su ljudi shvatili negativne društvene znakove, kao što su slike odbijanja, unutar 120 milisekundi – dvostruko brže od ljudi u zadovoljavajućim vezama i u manje od pola vremena potrebnog za treptanje. Usamljeni ljudi također su više voljeli biti dalje od stranaca, manje su vjerovali drugima i nisu voljeli fizički kontakt.
To je možda razlog zašto emocionalno blagostanje usamljenih ljudi često slijedi “silaznu spiralu”, rekao je Danilo Bzdok, interdisciplinarni istraživač sa Sveučilišta McGill s iskustvom u neuroznanosti i strojnom učenju. “Oni imaju tendenciju da završe s negativnijim osvrtom na sve informacije koje dobiju – izraze lica, tekstualne poruke, bilo što – i to ih tjera još dublje u ovu jamu usamljenosti.”
Pogreške u zadanoj mreži
Bzdok i njegovi kolege proveli su najveću studiju do sada u potrazi za znakovima usamljenosti u ljudskom mozgu — studije koje su uključivale oko 100 puta više ispitanika od prethodnih, prema Bzdoku. Koristili su podatke iz UK Biobank, biomedicinske baze podataka koja sadrži snimke mozga oko 40.000 stanovnika UK-a, zajedno s informacijama o njihovoj društvenoj izolaciji i usamljenosti.
Njihova otkrića, objavljena 2020. u časopisu Nature Communications, otkrila su da žarište usamljenosti mozga vreba unutar zadane mreže, dijela mozga koji se aktivira kada smo u stanju mentalne pripravnosti. “Do prije 20 godina nismo ni znali da imamo ovaj sustav”, rekao je Bzdok. Međutim, studije su pokazale da aktivnost u zadanoj mreži čini većinu potrošnje energije mozga.
Bzdok i njegov tim pokazali su da su neke regije zadane mreže ne samo veće kod ljudi koji su kronično usamljeni, već su i jače povezane s drugim dijelovima mozga. Nadalje, čini se da je zadana mreža uključena u mnoge osebujne sposobnosti koje su se razvile kod ljudi, kao što su jezik, predviđanje budućnosti i uzročno zaključivanje. Općenitije, zadana mreža se aktivira kada razmišljamo o drugim ljudima, čak i kada tumačimo njihove namjere.
Nalazi o zadanoj mrežnoj povezivosti pružili su dokaz neuroimaginga koji podupire prethodne nalaze psihologa da usamljeni ljudi imaju tendenciju sanjariti o društvenim interakcijama, lako postaju nostalgični u vezi prošlih društvenih događaja, pa čak i antropomorfiziraju svoje ljubimce, razgovarajući sa svojim mačkama kao da su ljudi, jer primjer. “Za to bi također bila potrebna zadana mreža”, rekao je Bzdok.
Dok usamljenost može dovesti do bogatog imaginarnog društvenog života, može društvene susrete u stvarnom životu učiniti manje isplativima. Jedan od razloga možda je identificiran u studiji Bzdoka i njegovih kolega iz 2021., koja se također temelji na opsežnim podacima UK Biobank. Zasebno su promatrali socijalno izolirane osobe i osobe s niskom socijalnom potporom, mjereno nedostatkom nekoga kome bi se mogli povjeriti gotovo svakodnevno. Istraživači su otkrili da je kod svih ovih pojedinaca orbitofrontalni korteks, dio mozga povezan s obradom nagrada, bio manji.
Prošlogodišnja velika studija snimanja mozga temeljena na podacima više od 1300 japanskih dobrovoljaca otkrila je da je veća usamljenost povezana s jačim funkcionalnim vezama u području mozga koje upravlja vizualnom pažnjom. Ovo otkriće podupire prethodna izvješća iz studija praćenja oka prema kojima su usamljeni ljudi skloni pretjerano fokusiranju na neugodne društvene znakove, poput ignoriranja od strane drugih.
Duboka i neugodna čežnja
Ipak, dok usamljeni ljudi mogu smatrati da su susreti s drugima neugodni i nezahvalni, čini se da i dalje žude za povezivanjem. Pokojni John Cacioppo, neuroznanstvenik sa Sveučilišta u Chicagu čije je istraživanje donijelo nadimak “Dr. Usamljenost”, spekulirao je da je usamljenost razvijena prilagodba, slična gladi, koja signalizira da je nešto pošlo po zlu u našim životima. Baš kao što nas glad potiče da tražimo hranu, usamljenost bi nas trebala potaknuti da tražimo vezu s drugima. Za naše pretke iz afričke savane, čiji je opstanak vjerojatno ovisio o vezi s grupom, taj bi društveni impuls mogao biti pitanje života i smrti.
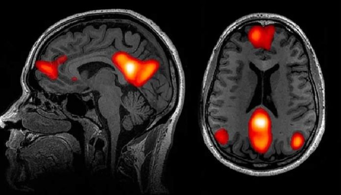
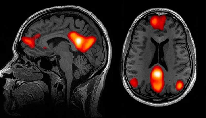
Nedavni podaci snimanja mozga podupiru ideju da je usamljenost duboko ukorijenjena u našoj psihi. U jednoj studiji, Livia Tomova, znanstvena suradnica neuroznanosti na Sveučilištu Cambridge, i njezini kolege zamolili su 40 ljudi da poste 10 sati, a zatim su im skenirali mozak dok su gledali slike ukusne hrane.
Naknadno su isti volonteri morali provesti 10 sati sami, bez telefona, e-pošte ili čak romana kao surogata za kontakt. Zatim su napravili drugo skeniranje mozga, ovaj put dok su gledali fotografije sretnih grupa prijatelja. Kada su znanstvenici usporedili snimke mozga ovih osoba, obrasci aktivacije mozga kada su bili gladni i kada su se osjećali usamljeno bili su nevjerojatno slični.
Za Tomovu, eksperiment je istaknuo važnu istinu o usamljenosti: ako je samo 10 sati bez društvenog kontakta dovoljno da izazove u biti iste neuralne signale kao i uskraćivanje hrane, to “naglašava koliko je temeljna naša potreba za povezivanjem s drugima”, rekao je. . .
Veći mozak i više prijatelja
Čini se da nedavne studije također potvrđuju evolucijsku teoriju zvanu hipoteza društvenog mozga, koja predlaže da je užurbani društveni život povezan s većim mozgovima. Ideja je nastala kao teorija o tome kako su se mozgovi mogli promijeniti kroz evoluciju, ali čini se da veća veličina mozga također proizlazi izravno iz životnih iskustava. Općenito, neljudski primati u zatočeništvu koji žive u većim društvenim skupinama ili dijele prostore s više kaveznih partnera imaju veće mozgove. Točnije, primati imaju više sive tvari u svom prefrontalnom korteksu.
Ljudi nisu puno drugačiji, pokazuju istraživanja. Studija iz 2022. pokazala je da usamljeni stariji ljudi često imaju atrofiju u dijelovima mozga, uključujući talamus, koji obrađuje emocije, i hipokampus, centar za pamćenje. Ove bi promjene, sugerirali su autori, mogle pomoći u objašnjenju poveznica između usamljenosti i demencije.
Naravno, pitanje o kokoši i jajetu u vezi sa svim ovim otkrićima je: stvaraju li nas razlike u mozgu predispozicije za usamljenost ili usamljenost preokreće i skuplja mozak? Prema Bzdoku, ova se zagonetka trenutno ne može riješiti. On, međutim, vjeruje da uzročnost može ukazivati na oba smjera.
Studije na primatima i rezultati eksperimenta na polarnoj postaji Neumayer III pokazuju da iskustvo i društveno okruženje mogu snažno utjecati na strukturu mozga pojedinca, povezujući promjene koje može izazvati usamljenost. S druge strane, studije blizanaca pokazale su da je usamljenost djelomično nasljedna: gotovo 50% varijacija u osjećaju usamljenosti kod pojedinaca može se objasniti genetskim razlikama.
Ljudi koji doživljavaju kroničnu usamljenost nisu beznadno zaglavljeni u tim osjećajima po prirodi i odgoju. Studije pokazuju da kognitivne terapije mogu biti učinkovite u smanjenju usamljenosti obučavanjem ljudi da prepoznaju kako ih njihovo ponašanje i obrasci mišljenja sprječavaju u stvaranju vrsta veza koje cijene. Trebale bi biti moguće i bolje intervencije za usamljenost i društvenu izolaciju.
Uzmimo za primjer nedavnu studiju u kojoj su Lieberz i njegovi kolege promatrali aktivnost mozga kod ljudi koji igraju igru temeljenu na povjerenju. U snimkama mozga usamljenih ljudi jedan dio mozga bio je mnogo manje aktivan nego kod društvenih ljudi. Ta regija, insula, ima tendenciju da se aktivira kada ispitujemo svoje osjećaje, objasnio je Lieberz. “To bi mogao biti jedan od razloga zašto usamljeni ljudi imaju problema s povjerenjem u druge – ne mogu se osloniti na svoje osjećaje”, rekla je. Intervencije usmjerene na povjerenje stoga bi mogle biti dio rješenja problema 22 usamljenosti.
Druga ideja je poticanje sinkroniciteta. Istraživanja pokazuju da ključ toga koliko se ljudi vole i vjeruju jedni drugima leži u stupnju u kojem njihovo ponašanje odgovara njihovim reakcijama iz trenutka u trenutak. Ta sinkronizacija između pojedinaca može biti jednostavna poput uzvraćanja osmijeha ili zrcaljenja govora tijela u razgovoru, ili složena poput pjevanja u zboru ili članstva u veslačkom timu. U studiji objavljenoj prije godinu dana, Lieberz i njegovi kolege pokazali su da se usamljeni ljudi teško usklađuju s drugima, te da ta neusklađenost uzrokuje da se regije u mozgu koje su odgovorne za promatranje radnji ubrzaju. Edukacija usamljenih ljudi o tome kako sudjelovati u postupcima drugih mogla bi biti još jedna strateška intervencija koju treba razmotriti. Samo po sebi neće izliječiti usamljenost, “ali moglo bi biti mjesto za početak”, rekao je Lieberz.
A ako sve drugo zakaže, mogle bi postojati nove kemijske terapije. U eksperimentu provedenom u Švicarskoj, nakon što su dobrovoljci uzeli psilocibin, psihoaktivni spoj u čarobnim gljivama, izvijestili su da se osjećaju manje društveno isključenima. Skeniranje njihovih mozgova pokazalo je manje aktivnosti u područjima koja procesuiraju bolna društvena iskustva.
Dok intervencije poput kognitivne bihevioralne terapije, promicanja povjerenja i sinkroniciteta ili čak uzimanja čarobnih gljiva mogu pomoći u liječenju kronične usamljenosti, prolazni osjećaji usamljenosti vrlo će vjerojatno uvijek ostati dio ljudskog iskustva. I u tome nema ništa, rekla je Tomova.
Usporedite usamljenost sa stresom: neugodna je, ali ne nužno i loša. “Ona opskrbljuje tijelo energijom i stoga možemo odgovoriti na izazove”, rekla je. “Postaje problematično kada je kronično jer naša tijela nisu predviđena da budu u ovom stalnom stanju. Tada se naši mehanizmi suočavanja konačno pokvare.
Marta Zaraska
Pripremio Igor Drenjančević
Hop
HOP -portal na Telegramu
https://t.me/hopportal












